Our Smile Gallery
Are you looking for comprehensive dentistry in Huntsville, AL? Check out our before-and-after gallery below to learn what we do and how we can help you!
Our smile gallery is a collection of real patient results from dental crowns, dental implants, veneers, and more! To learn more about the dental services we offer in Huntsville, AL, contact our office.
Closing Gaps with Ceramic Crowns
This patient’s smile was beautifully transformed using ceramic crowns to close spacing between teeth. The result is a more balanced, natural-looking smile with improved aesthetics and function.
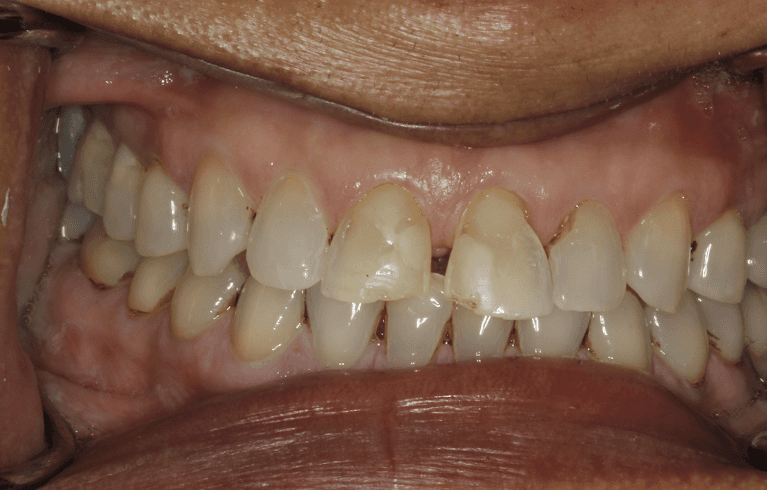
Smile Transformation with Dental Crowns
See the stunning transformation achieved with custom dental crowns at Twickenham Family Dentistry. This patient’s smile was restored with natural-looking, durable crowns that improved both appearance and function.
Smile-Framing Lip Enhancement
To complement a recent smile makeover, this patient opted for lip enhancement to elevate their overall appearance. The final result is a fuller, well-defined pout that naturally draws attention to the smile.
Lip Contouring – Balanced and Symmetrical
Uneven volume was affecting this patient’s lip line. We carefully sculpted both the top and bottom lips for a more symmetrical and smooth profile—resulting in a polished, smile-enhancing finish.
Lip Enhancement – Restoring Youthful Fullness
This patient noticed volume loss over time. Through targeted filler application, we restored plumpness and symmetry, creating a more youthful, confident appearance that enhances their overall facial harmony.
Subtle Lip Enhancement – Natural Refresh
For this light enhancement, the patient desired a soft, refreshed look without dramatic volume. We added just enough definition and hydration to smooth lines and enhance the natural contours—perfectly subtle and refined.
Full Lip Enhancement – Volume & Definition
This patient wanted fuller lips to complement their smile. With precise filler placement, we enhanced both volume and shape, resulting in a balanced, natural-looking boost that frames the smile beautifully.
Dental Implant – Front Tooth Replacement
This patient lost a front tooth and wanted a permanent, natural-looking solution. We placed a custom dental implant topped with a lifelike crown, restoring both function and appearance. The result is a seamless, confident smile that looks and feels just like the real thing.
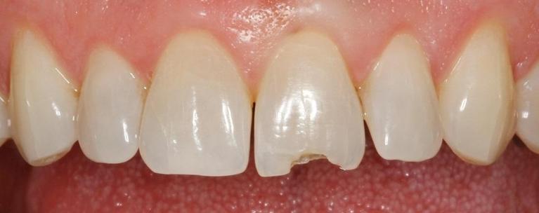
Cosmetic Bonding – Smile Touch-Up
Minor cracks and uneven edges were affecting this patient’s smile. With precise composite bonding, we smoothed and reshaped the teeth for a more polished, uniform look—completed in just one visit.
Bonding Repair – Before & After
This patient came in with a small chip in a front tooth. Using tooth-colored bonding, we quickly restored the tooth’s shape and appearance. The result is a seamless, natural-looking repair that blends perfectly with their smile.
Before & After – Porcelain Crowns
Discoloration and fractures were making this patient hesitant to smile. With custom porcelain crowns, we restored both aesthetics and confidence—creating a smooth, bright, and beautifully balanced smile.
Porcelain Crowns – Smile Restoration
This patient presented with worn and damaged teeth that impacted both function and appearance. We used porcelain crowns to rebuild and strengthen their smile, resulting in a natural, refreshed look with improved durability.
Ceramic Veneers – Before & After
This patient wanted to improve the shape and brightness of their teeth without compromising a natural look. With custom ceramic veneers, we enhanced their smile by correcting minor imperfections and achieving a whiter, more balanced appearance. The final result is smooth, radiant, and confidently natural.
Cosmetic Ceramic Crowns – Before & After
Fractures and old restorations left this patient’s smile looking patchy and uneven. Our team replaced them with ceramic crowns designed to match the surrounding teeth in shape and shade, resulting in a smooth, refreshed appearance.
Full Coverage Crowns – Smile Restoration
Worn and uneven teeth made chewing uncomfortable and left this patient self-conscious. We placed custom ceramic crowns to rebuild tooth structure and deliver a clean, balanced look. The result is a healthier, more confident smile.
Ceramic Crowns – Before & After
This patient had chipped and discolored teeth that affected both their smile and bite. With natural-looking ceramic crowns, we restored strength, function, and aesthetics—creating a durable, seamless smile transformation.
Cosmetic Veneers – Before & After
Uneven color and surface texture made this patient hesitant to smile. With just a few well-placed veneers, we brightened their smile and gave it a smoother, more consistent look. It’s a simple cosmetic upgrade with a powerful boost in confidence.
Veneers for Gaps and Shape Correction
This patient was concerned about small gaps and irregular tooth shapes. After a personalized consultation, we placed veneers designed to close spaces and create a more uniform, polished smile. The final result blends seamlessly with their natural teeth.
Porcelain Veneers – Smile Makeover
Years of wear had left this patient's teeth dull and chipped. Using a series of porcelain veneers, we restored their smile to a smooth, youthful appearance. The transformation is subtle yet striking—enhancing their overall look while preserving natural facial aesthetics.
Veneers – Before & After
This patient wanted to correct uneven edges and discoloration that were affecting their confidence. With custom porcelain veneers, we achieved a bright, symmetrical smile that looks both natural and refined. The result is a dramatic improvement with minimal tooth preparation.
Porcelain Crowns – Before & After
This patient came to us with worn, discolored, and uneven teeth affecting both function and appearance. With custom-crafted porcelain crowns, we restored the natural shape, color, and strength of their smile. The after image shows a beautifully balanced and refreshed look—highlighting how porcelain crowns can transform both aesthetics and confidence.
Botulinum Toxin Facial Smoothing – Before & After
In this transformation, our patient received targeted botulinum toxin treatment to soften the appearance of fine lines and wrinkles around the forehead and eyes. The after photo reveals a smoother, more refreshed facial appearance—subtle yet impactful results that enhance the overall smile without altering natural expression. At Twickenham Family Dentistry, we offer facial aesthetics to complement your dental care and boost confidence.
Take a look at our before-and-after smile gallery showcasing a chipped tooth repair with composite bonding. In the "before" photo, you can see a noticeable chip affecting the tooth's shape and appearance. The "after" photo reveals a perfectly restored tooth, seamlessly blended with composite bonding to match the natural color and contour. This quick and effective procedure restored the tooth’s function and gave the smile a flawless finish.
Need a chipped tooth repaired? Contact us for a consultation!
Check out our before-and-after smile gallery featuring a man’s smile transformation with ceramic crowns. In the "before" photo, his teeth show wear, discoloration, and damage, affecting the appearance and function of his smile. The "after" photo reveals a complete restoration with custom ceramic crowns that look natural, restoring both the beauty and strength of his teeth. Ceramic crowns offer long-lasting durability while enhancing the overall look of the smile.
Interested in ceramic crowns? Schedule your consultation today!
At Twickenham Family Dentistry, we use custom-crafted dental crowns to rebuild teeth that are broken, worn, or weakened by decay, providing a durable solution that restores both the strength and aesthetics of your smile. Dr. Brian Cook meticulously designs each crown to match the natural shade and shape of your surrounding teeth, ensuring a seamless fit that improves your bite and protects your oral health for years to come. Whether you need to reinforce a tooth after a root canal or want to conceal deep discoloration, our Huntsville team offers personalized, high-quality restorations in a comfortable and welcoming environment.
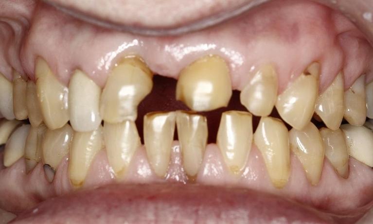
At Twickenham Family Dentistry, we take pride in transforming smiles with our custom dentures and partial dentures. Our Smile Gallery showcases real patient results, highlighting the life-changing benefits of restoring missing teeth. Whether you need a full denture for a complete smile makeover or a partial denture to replace a few missing teeth, our team designs each solution to fit comfortably and look natural. Browse through the gallery to see how we’ve helped patients regain confidence, functionality, and a beautiful smile. Ready to start your journey? Contact us today to learn more about our denture options!
Explore our before-and-after smile gallery featuring a man who transformed his smile by replacing his missing teeth with dental implants. In the "before" photo, you can see gaps where teeth are missing, affecting both his smile and confidence. The "after" photo showcases a full, restored smile with dental implants that look and function like natural teeth. This solution not only enhances his appearance but also improves his ability to chew and speak comfortably.
Considering dental implants? Contact us for a consultation today!
Many patients are surprised to learn that their dentist is one of the most qualified professionals to provide BOTOX®. Because we specialize in the delicate muscles and anatomy of the face every day, we can deliver incredibly precise results.
This patient’s journey shows how a few minutes in our chair can eliminate deep forehead creases and stubborn frown lines. The result is a more youthful, relaxed appearance that looks completely natural. Experience the intersection of dental expertise and cosmetic excellence at our Whitesburg Drive office.
Interested in Botox for a smoother look? Schedule your consultation today!
Take a look at our before-and-after gallery featuring a woman who received Botox treatment for her forehead and 11’s (frown lines). In the "before" image, you can see noticeable lines and wrinkles on her forehead and between her eyebrows. The "after" image shows a smooth, youthful-looking forehead with diminished frown lines, creating a refreshed and relaxed appearance. Botox is a quick and effective way to reduce the signs of aging without downtime.
Considering Botox? Contact us for a consultation today!
Explore our stunning before-and-after smile gallery showcasing a woman’s transformation with ceramic veneers. In the "before" photo, her teeth show imperfections such as uneven spacing, discoloration, and minor chips. The "after" photo reveals a bright, beautifully aligned smile with custom ceramic veneers that look natural and radiant. These veneers provide a durable and aesthetic solution, enhancing both the appearance and confidence of her smile.
Interested in ceramic veneers? Book your consultation today!
Take a look at our before-and-after smile gallery featuring a woman who underwent lip enhancement. In the "before" image, her lips appear thinner and less defined, while the "after" image shows fuller, more contoured lips that complement her natural facial features. The enhancement has created a balanced, youthful look, adding volume and symmetry to her smile.
Curious about lip enhancement? Schedule your consultation today to learn more!
Check out our before-and-after smile gallery showcasing the transformation with dental crowns. In the "before" photo, the teeth show signs of wear, discoloration, and damage, affecting both function and appearance. The "after" photo highlights beautifully restored teeth with custom dental crowns that blend seamlessly, providing a natural look and improved strength. Dental crowns not only enhance aesthetics but also protect and reinforce your teeth for long-lasting results.
Considering dental crowns? Contact us for a consultation today!
Take a look at our remarkable before-and-after smile gallery featuring a woman who transformed her smile with veneers. In the "before" photo, her teeth show minor imperfections like discoloration, chips, and uneven spacing. The "after" photo reveals a bright, flawless smile with beautifully shaped and perfectly aligned veneers. This cosmetic solution has enhanced both her confidence and the overall aesthetics of her smile.
Interested in achieving your dream smile with veneers? Book a consultation today!
Explore our stunning before-and-after smile gallery featuring a woman who received an implant overdenture. In the "before" image, you can see missing teeth and gaps affecting her ability to chew and smile confidently. The "after" image showcases a full, secure, and natural-looking smile thanks to the implant-supported overdenture, providing both stability and comfort. This transformative solution not only enhances appearance but also restores function, giving her the confidence to smile again.
Considering an implant overdenture? Contact us for a consultation!
Check out our latest before-and-after smile transformation! In this case, we restored a woman's smile using custom dental crowns. The "before" photo shows her teeth with visible wear and discoloration, while the "after" photo reveals a beautiful, natural-looking smile with perfectly shaped and color-matched crowns. Dental crowns not only improve appearance but also strengthen and protect your teeth for long-lasting results.
Ready to transform your smile? Schedule your consultation today!
This patient came to our dentist's office in Huntsville, AL, presenting with teeth that were worn and misshapen. The team at Twickenham Family Dentistry enhanced their smile with custom porcelain veneers, adding brightness and symmetry to their smile.
Achieve Your Dream Smile with Dental Veneers in Huntsville
If you're looking to eliminate minor cosmetic imperfections like worn, chipped, broken, or discolored teeth, we invite you to book an evaluation with one of our cosmetic dentists at Twickenham Family Dentistry at (256) 539-4079 to learn what dental veneers can do for you.
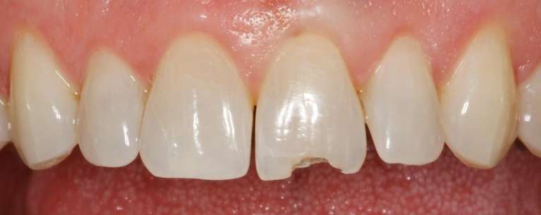
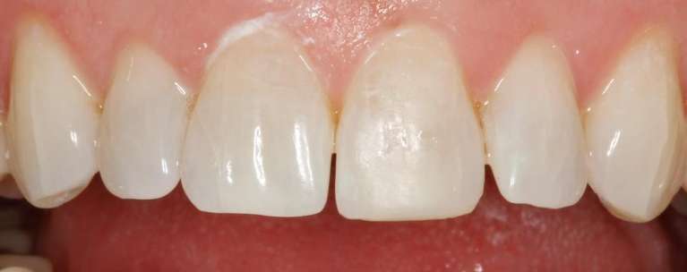
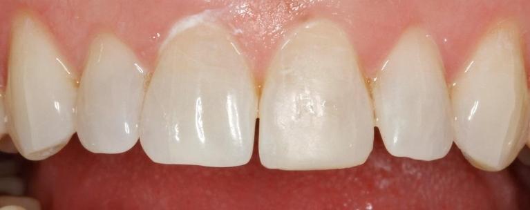
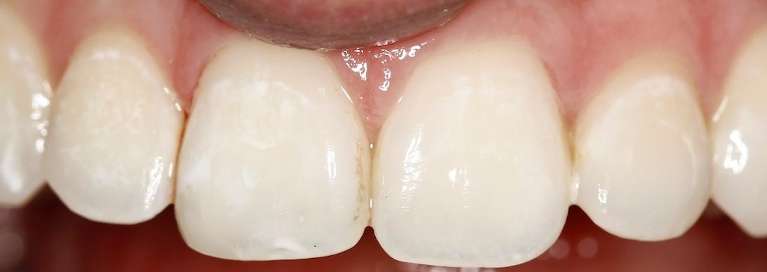
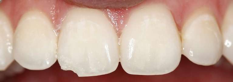
This patient presented with a chipped front tooth that was uncomfortable and diminished the appearance of their smile. Our team restored their smile with quick and affordable dental bonding.
With dental bonding in Huntsville, AL, you can regain the ability to talk, eat, and smile with ease and confidence. Say goodbye to the discomfort and self-consciousness caused by a chipped tooth, and hello to a new, improved smile!
Repair Broken Teeth with Dental Bonding
Dental bonding may be the solution if you're looking for an inexpensive and straightforward approach to tooth repair. For aesthetic smile solutions, contact your cosmetic dentist in Huntsville, AL, ...
At Twickenham Family Dentistry in Huntsville, AL, Dr. Brian Cook uses custom-designed dental crowns to conceal broken or severely worn teeth and restore your bite’s natural function. This transformation highlights how high-quality porcelain crowns can seamlessly blend with your existing teeth, providing a durable, life-like solution that reinforces weakened structure while creating a beautiful, cohesive smile.
Rebuilding Strength with Custom Dental Crowns
This patient visited our Huntsville, AL, dental office with significant wear and dental fractures that compromised both the function and appearance of their smile. Dr. Brian Cook utilized all-porcelain dental crowns to reconstruct and strengthen the damaged teeth, resulting in a natural, refreshed look with vastly improved durability.
Excellent customer service. All services were performed in an organized timely fashion. The relaxing atmosphere made it a very pleasant experience. My hygienist was knowledgeable and helpful, readily answering any questions. The doctor was very pleasant and personable, and I have found my new dental home! The warmth of the office doesn’t put you in the mind frame of a dental chair at all, and I had a fantastic experience!
- Misty Lou McGuire