Skip to main content
Dental Emergencies
Because Emergencies Won't Wait

We are here for you and your loved ones. If you have a cracked tooth, toothache, jaw pain, or any other dental emergency, we want to hear from you.

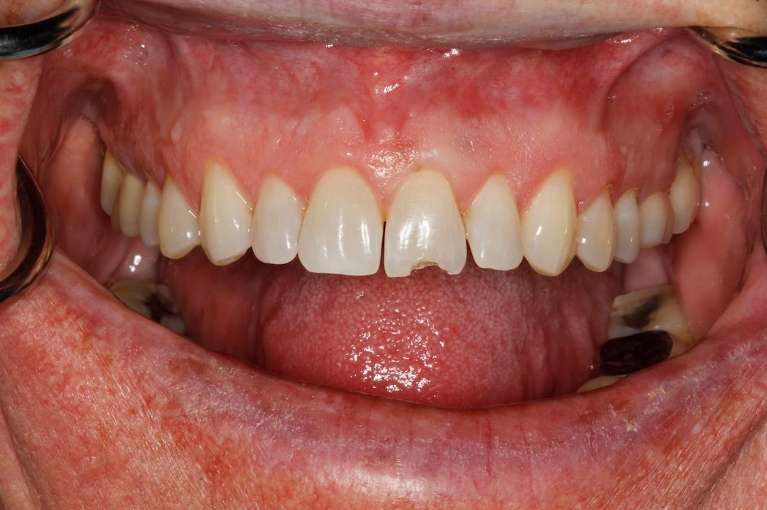
Patient who got treatment for a cracked tooth in Huntsville, AL

Emergency Dentistry in Huntsville, AL

Dental emergencies don’t wait for convenient timing or plan themselves around your schedule. At Twickenham Family Dentistry, we understand this, and we never want you to be in pain. If you have a dental emergency, we always advise you to call our dental office at (256) 539-4079. Graphic of tooth with stethascope

If it’s after business hours, leave us a message, and a member of our compassionate dental team will call you back as soon as possible. This team member will assess your situation and advise you accordingly. 

If you require emergency treatment, we can see you right here in our Huntsville dental office. We encourage you to avoid the emergency room for dental problems whenever you can, especially during the COVID-19 pandemic. Usually, the best person to treat your injury is a dentist, and we’ll be able to treat you faster and more efficiently than a crowded hospital.

We will always do our absolute best to see you and treat your emergency as soon as possible, which is often that same day.  

Dental emergencies may include:

  • Tooth knocked out
  • Tooth knocked loose
  • Broken or cracked teeth
  • Broken restoration
  • Face or jaw swelling
  • Toothache
  • Mouth or soft tissue trauma
  • Bleeding that won't stop

If your tooth is knocked loose, make sure to keep it in warm water, milk, or saliva until your emergency dental appointment in Huntsville, AL. 

For a cracked tooth or broken tooth, it’s important to contact your emergency dentist as soon as you can. While you are waiting to see your dentist, make sure to ice the affected area and keep it clean. This will prevent swelling and lower the risk of infection. Once you arrive at our dental office, Dr. Cook will determine the best course of action for your tooth and whether or not it can be saved. 

If you’re uncertain whether your situation is a dental emergency, we want to hear from you.

When Your Tooth Cannot Be Saved

If you have an oral injury, deep decay, or a knocked-out tooth, your emergency dentist in Huntsville, AL, works diligently to save it. However, we offer replacement options if your tooth cannot be restored.
Dental Implants
A dental implant restores your tooth from root to crown, offering the most natural replacement option available today. It's the gold standard for function, beauty, and longevity.
Dental Bridges
A dental bridge restores one to two teeth using prosthetic teeth between dental crowns. The crowns connect the bridge to healthy teeth for a stable solution.
Partial Dentures
A partial denture takes over when teeth are missing, but others remain. It is removable and relies on remaining teeth, gravity, and special clips for support.
  • Dr. Brian K. Cook

    Dr. Brian K. Cook was born and raised in Montgomery, Alabama. In 2005, he received his undergraduate degree in biology from the University of South Alabama with magna cum laude honors, before going on to ...

    Read More
  • Dr. Caroline Kestner

    Dr. Kestner is a native of Huntsville, Alabama and a graduate of Randolph School. Her undergraduate education was completed at Auburn University, where she graduated magna cum laude with a major in Biomedical ...

    Read More

A Safe and Sterile Environment for Your Emergency Treatment

Man wincing from toothache | emergency dentist huntsville

Our commitment to your long-term oral health never waivers. We do not want an infection today to claim your oral health tomorrow.

As part of our ongoing commitment to patient safety, we always sterilize our dental office from nook to nook throughout the day—whether it’s our lobby, reception desk, exam room, or the far corner of a little-used hallway.

We rely on surgical-grade cleaners and sterilization technologies for our multi-use instruments—using them only once before putting them aside for lengthy sterilization. Additionally, we dispose of needles, bibs, cups, safety sleeves, and more after only one use—following guidelines put forward by the Occupational Safety and Health Administration (OSHA).

 

Frequently Asked Questions

If you chip your tooth, you should contact our Huntsville dental office as soon as possible to have it evaluated, especially if you’re experiencing pain or bleeding. Prompt treatment can prevent further damage or infection, and we often offer same-day emergency appointments to see you quickly.

As an emergency dentist, Dr. Cook deals with dental injuries often, and many dental injuries include chipped, fractured, or broken teeth. Chipped teeth aren’t uncommon, so we don’t want you to panic. However, if you have chipped your tooth, it is a situation where you need to contact our office.  

When you call our Huntsville dentist office, we will ask questions about the chipped tooth to figure out how extensive the damage is, and we will schedule an emergency appointment for you if necessary. We never want you to be in pain or a state of anxiety, so we will get you in to see Dr. Cook as soon as possible. For emergencies, we usually provide same-day appointments. 

If the chip is minimal and you are not in pain, a same-day appointment may not be necessary. However, you will still need treatment. 

What If I’m in Pain?

If you are in pain after chipping your tooth, you should reach out to us immediately. The pain may mean that your tooth’s nerve has been exposed, which is a situation that requires prompt treatment to help prevent damage or infection. 

What If I’m Bleeding?

If you notice blood in your mouth after chipping your tooth, you should seek emergency treatment from Dr. Cook. Dr. Cook will examine the tooth to ascertain the amount of damage it sustained. When bleeding is present, the damage could be more extensive than is apparent on the surface. 

What If My Child Has a Chipped Tooth?

Prompt treatment is even more important for children than it is for adults. Children are especially sensitive to pain, and we always want to treat their dental problems as soon as we can. If your child has chipped a tooth, we will try to get them into our office as soon as possible for treatment. 

If you’re not sure whether your chipped tooth is an emergency, please call us. We will do our best to evaluate your situation over the phone to advise you on what to do.

Steps to Take After Chipping Your Tooth

After chipping a tooth, you can take a few steps to help prevent more damage or an infection. 

Step 1: Use saltwater to rinse your mouth out. This cleanses the area and removes any debris, which helps prevent an infection from developing. 

Step 2: Try to stop any bleeding using clean gauze or a clean rag. Even if you are not bleeding, applying light pressure to the tooth with gauze or a rag may help reduce pain. 

Step 3: Call Twickenham Family Dentistry to arrange an appointment with Dr. Cook so he can restore the tooth as soon as possible.

Step 4: Ice the area to prevent swelling and to help reduce any pain. 

Restoring Your Chipped Tooth

At Twickenham Family Dentistry, Dr. Cook will restore your chipped tooth using the most appropriate treatment for your situation. There are a variety of restoration options when it comes to chipped teeth. Dr. Cook may recommend dental bonding, dental veneers, or dental crowns, among other options. 

If you have chipped a tooth in the Huntsville, AL area, Dr. Cook is here to help you. As an emergency dentist in Huntsville, Dr. Cook is experienced in treating dental injuries and can treat your dental emergencies. 

Yes, at Twickenham Family Dentistry, we strive to see dental emergency patients the same day whenever possible. Whether you’re experiencing a severe toothache, an injured tooth, or swelling, our Huntsville, AL, emergency dentists make time in their schedules to provide prompt care.

If you have symptoms of a dental emergency, or if you’re unsure, we want to hear from you immediately. Because we make time in our daily schedules to offer prompt emergency care, we can almost always get you in front of a dentist quickly.

A dental emergency can mean:

  • Toothache
  • Jaw swelling
  • Jaw pain
  • Oral injury
  • Tooth damage
  • Restoration damage

If ever you’re unsure about your situation, give us a call. Our trained dental staff can talk to you about your symptoms and make the best determination. And after your emergency appointment, we can provide tips to help you avoid future emergencies, including:

  • Brushing and flossing at least two times each day
  • Visiting your dentist for exams and teeth cleanings at least two times each year
  • Wearing the proper face equipment and mouthguard if you compete in sports
  • Talking to your dentist about a nightguard if you have bruxism (grinding and clenching your teeth)

Contact Us for Your Dental Emergency in Huntsville

Waiting out tooth pain and injuries can cost you your smile. Call our office today if you suspect a dental emergency.

Accidentally stabbing or cutting oral tissue, either of the gums or the roof of the mouth, happens more often than you might think. One minute you’re enjoying a crusty piece of bread or a tortilla chip, and the next thing you know, you puncture your gums or the roof of your mouth.

While this can be painful and alarming, this is typically not an oral injury that requires emergency care. Minor cuts inside the mouth typically heal quickly due to the rich blood supply in the area.

When to Call an Emergency Dentist in Huntsville

However, there are certain situations in which you should see an emergency dentist in Huntsville, AL, right away. Contact the Twickenham Family Dentistry team immediately if:

  • The wound is deep or won’t stop bleeding after 10–15 minutes of gentle pressure.
  • You notice swelling, pus, or signs of infection.
  • The pain worsens or you develop a fever
  • The injury affects a tooth’s stability or chips/breaks a tooth.
  • You have a compromised immune system, which increases infection risk.

For smaller injuries, however, rinse with warm salt water to keep the area clean, avoid irritating foods, and monitor healing.

Finding the Best Emergency Dentist in Huntsville, AL

At Twickenham Family Dentistry, your peace of mind is our priority. If you’re unsure whether your injury is urgent, don’t hesitate to call Dr. Caroline Kestner and the compassionate and caring team at our Huntsville office.

We’re here to guide you on next steps, schedule same-day care if needed, assess the injury, and, generally, painlessly protect your oral health.

Updated in March of 2026

If you need root canal treatment, it is always an urgent matter. A root canal treatment means you have a root infection or tooth trauma. Without intervention, the infection can spread, and you can lose your tooth and other teeth.

Sometimes a root infection does not cause pain. This happens if the infection is just starting or if the nerveclose up of x-ray | emergency dentist huntsville al is dead. Other times our Huntsville patients will report a toothache, tooth sensitivity, jaw pain, and a blister on the gum.

Whether your root infection or trauma is painful or comes without symptoms, it should be treated as soon as possible.

Recognizing the Need for an Emergency Root Canal

In many cases, an emergency root canal is the only way to resolve a deep-seated infection in the dental pulp. While some infections start silently if the nerve has already died, most Huntsville patients report one or more of the following "red flag" symptoms:

  • Persistent, Throbbing Pain: Pain that keeps you up at night or doesn't respond to over-the-counter medication.
  • A "Pimple" on the Gums: A small, painful bump (abscess) on the gum line that may even release a bad taste.
  • Extreme Sensitivity: Lingering pain long after you’ve consumed something hot or cold.
  • Swelling and Tenderness: Significant swelling in the gums, jaw, or even the side of your face.
  • Discoloration: A tooth that begins to look dark gray or black compared to its neighbors.

How the Procedure Saves Your Smile

If our emergency dentist in Huntsville determines that you require treatment, our first priority is pain management. Many patients fear the procedure, but a modern emergency root canal actually stops the pain rather than causing it.

  1. Numbing & Preparation: We ensure the tooth and surrounding area are completely numb before we begin.
  2. Removing the Infection: Dr. Cook carefully removes the infected or damaged pulp and cleans the internal canals of the tooth to eliminate bacteria.
  3. Healing & Protection: We place a biocompatible material and a temporary filling to allow the tooth to heal.
  4. Final Restoration: At a follow-up visit, we typically place a dental crown. Because an infection weakens the tooth structure, a crown is essential to restore its strength and prevent it from fracturing in the future.

Call Us For Fast Pain Relief

If you are experiencing any signs of a root infection, do not wait for the pain to become unbearable. Contact our Huntsville dental team immediately at (256) 539-4079 to schedule an emergency evaluation.

Minimizing Your Risk of Dental Emergencies

You’ll never predict 100 percent of potential dental emergencies, but you can do a lot to prevent injuries and infections from impacting your smile. 

Your dentist in Huntsville recommends:

  • Brushing and flossing at least twice per day—more if you’re indulging in sweets
  • Attending your dental checkup and cleaning every six months and scheduling dental appointments more often if you’re prone to tooth decay or oral health problems
  • Avoiding sugary and acidic foods and beverages, such as sodas and juices
  • Wearing your night guard if you suffer from bruxism (grinding and clenching your teeth)
  • Wearing your mouthguard when wrestling around with the family or tossing a ball around in the backyard
  • Using proper tools when needed rather than using your teeth as tools—this means avoiding behaviors like opening bags of chips with your teeth or biting your nails
  • Not waiting to contact your dentist for an urgent issue

Please get in touch with Twickenham Family Dentistry with any questions about at-home dental care or to learn more about preventing dental emergencies.  

Proud to Be Your Emergency Dentist in Huntsville, AL

One thing you can always count on is our commitment to your oral health. If you have a dental emergency in Huntsville, we want to relieve your pain and protect your oral health—today and every day.

Dental emergencies can happen at any time and anywhere, so don’t hesitate to call us at (256) 539-4079 if you’ve injured a tooth in any way.